Na Zavodu za ortopediju i traumatologiju KBC-a Split po prvi put odstranjen maligni tumor osteosarkoma tibije
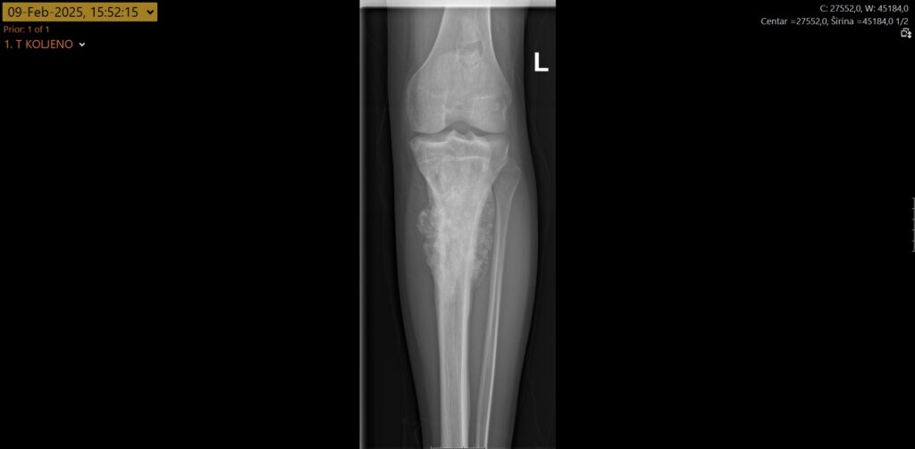
Na Zavodu za ortopediju i traumatologiju Kliničkog bolničkog centra Split po prvi put je obavljen zahvat odstranjenja izrazito malignog tumora osteosarkoma tibije. Riječ je o jednom od najmalignijih tumora ljudskog tijela uopće, a kako se ovakvi zahvati gotovo i ne obavljaju u zdravstvenim ustanovama u RH, pacijente se za obavljanje zahvata upućivalo u inozemstvo.
No to više nije potrebno jer je zahvat uspješno obavljen u splitskoj bolnici, i to baš mladom Splićaninu, koji se dobro oporavlja. Tijekom zahvata u potpunosti mu je odstranjen koljenski zglob te gornjih 17 cm goljenične kosti koji su zamijenjeni posebnom tumorskom protezom i nadomjestkom – implantatom za odstranjenu kost. Potom je nastali defekt primarno zatvoren i pokriven kožno-mišićnim režnjem.
Zahvat je obavio tim Zavoda za ortopediju i traumatologiju, uz vodstvo posebnog gosta dr. Marka Bergovca, predstojnika Klinike za ortopediju i traumatologiju Klinike Diakonissen iz Schladminga i vodećeg stručnjaka u području rekonstruktivne i tumorske ortopedske kirurgije. Djelatnici Zavoda za ortopediju i traumatologiju izrazito su zadovoljni što su im pacijent i njegova obitelj poklonili povjerenje kako bi se ovaj složen i zahtjevan zahvat obavio upravo u KBC Split umjesto odlaska u neku od inozemnih klinika.







